
很多人在体检或因为头晕做脑CT、脑MRI时配资炒股—配资优选,会在报告上看到一句让人心里一紧的话:“可见腔隙性脑梗死灶。”
不少人第一反应就是:“我是不是得过脑梗?”
甚至有人担心:“会不会马上中风?”

实际上,在神经内科门诊,这样的情况非常常见。很多50岁以上的人,在影像检查中都会发现类似改变。
但大多数情况下,它并不意味着严重疾病已经发生。真正需要注意的,是背后的血管问题,以及未来是否会出现新的脑梗。
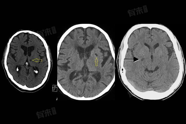
一、什么是腔隙性脑梗死?
要理解这个问题,先要知道脑梗是怎么发生的。
大脑就像一个耗能极高的“器官城市”,需要大量血液不断输送氧气和营养。一旦某一条血管被堵住,血液无法到达对应区域,这块脑组织就可能发生坏死,这就是脑梗死。
而“腔隙性脑梗死”,其实是其中一种特殊类型。

它通常发生在脑内非常细小的穿支动脉,比如:
基底节区丘脑内囊脑桥
这些血管直径非常小,一旦堵塞,形成的梗死区域往往只有几毫米到1厘米左右,医学上称为“腔隙”。
简单理解就是:脑内的小血管堵了一下,留下一个很小的“疤痕”。
二、为什么很多人完全没有症状?
很多人看到报告会疑惑:
“如果真是脑梗,我怎么一点感觉都没有?”

原因有三个。
1.小血管堵塞,影响范围很小
腔隙性脑梗死涉及的区域通常很小,不像大血管堵塞那样影响大片脑组织。
因此很多人不会出现明显瘫痪、失语等症状。
2.大脑具有一定代偿能力
大脑神经网络非常复杂,当一个小区域功能受影响时,周围神经元往往可以部分代偿。
所以不少腔隙性脑梗死是“无症状脑梗”。

3.很多是“陈旧性病灶”
影像报告中常见一句话:
“陈旧性腔隙性脑梗死灶。”
意思是:这个病灶可能已经存在几年甚至更久,只是现在才发现。
三、为什么50岁以后特别常见?
神经科医生经常会说一句话:“50岁以后,很多人脑子里都会有几个小腔隙。”

原因主要与血管老化有关。
1 小血管逐渐硬化
随着年龄增长,小动脉会出现:
管壁增厚弹性下降管腔变窄
这些变化会增加局部堵塞风险。
2 长期高血压
在腔隙性脑梗死的患者中,最常见的危险因素就是:高血压。
长期血压升高会损伤脑内小动脉,导致:
血管壁增厚管腔变窄更容易形成微小梗死

3 糖尿病和血脂异常
这些代谢问题会加速血管损伤。
比如:
高血糖损伤血管内皮高血脂促进动脉粥样硬化
时间一长,小血管就更容易堵。
四、真正需要担心的不是旧病灶,而是“新发脑梗”
很多人拿到报告最焦虑的问题是:“这个腔隙会不会有危险?”
医生真正关注的,其实是:未来是否会出现新的脑梗。
如果不控制危险因素,小血管可能继续发生堵塞。

腔隙越来越多时,就可能带来一些问题,比如:
记忆力下降步态不稳反应变慢
医学上称为:脑小血管病。
五、发现腔隙性脑梗死,需要吃药吗?
这是门诊中最常见的问题。答案并不是统一的,要看具体情况。

通常医生会考虑几个因素:
是否有高血压是否有糖尿病是否有高血脂是否曾经出现脑卒中症状
如果风险较高,医生可能会建议:
抗血小板药物(如阿司匹林)他汀类降脂药
目的是降低未来脑梗风险。
但并不是所有人都必须长期吃药,需要医生评估。
六、预防新的脑梗,比纠结旧病灶更重要
相比已经形成的腔隙,更关键的是控制危险因素。

神经科医生通常会建议关注几件事。
1.控制血压
对于中老年人来说,稳定血压非常关键。长期血压控制不好,小血管损伤会持续发生。
2.控制血糖和血脂
糖尿病和高脂血症都会加速血管损伤。规律复查指标非常重要。
3.戒烟限酒
吸烟会明显增加脑卒中风险。长期大量饮酒也会影响血管健康。
4.保持规律运动
适度运动有助于:
改善血管功能降低血压控制体重
快走、游泳、骑车都是不错的选择。
七、什么时候需要警惕?

虽然很多腔隙性脑梗死没有症状,但如果出现以下表现,需要尽快就医:
突然一侧肢体无力说话不清面部歪斜突然视力下降严重头晕
这些可能是急性脑卒中信号。越早治疗,恢复机会越大。
总结
很多人在体检发现“腔隙性脑梗死”时都会非常紧张。但实际上,这种影像学改变在50岁以后并不少见。
多数情况下,它只是提示:脑内小血管曾经发生过一次微小堵塞。
真正重要的不是这个已经存在的小病灶,而是:未来是否还会发生新的脑梗。
只要控制好血压、血糖、血脂,保持健康生活方式,很多人完全可以长期稳定生活配资炒股—配资优选,不必过度担心。
天创网配资提示:文章来自网络,不代表本站观点。